april-dz.ru
  • Разделы
    • Снимки-откровения
    • Фотодневник открытий
    • Экспозиция интеллекта

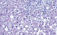
Глубокое погружение в медицину: фотографии гистологических изменений при неалкогольном стеатогепатите


Раздел: Экспозиция интеллекта
Популярные разделы:
Снимки-откровения
Фотодневник открытий
Экспозиция интеллекта
Смотрите еще:
Интересные примеры применения отделочных материалов: дизайн, интерьер, ремонт
Прекрасные фотографии стоника Исланд
Очарование в деталях: фотографии джинсов In Eyes
Интересные факты и красивые фотографии Алтайских гор
Модное калифорнийское мелирование: идеи на каштановых волосах
Красота природы: фото плодовых деревьев на карточках
Отражение тяжелых чувств в стихах
Первая часть истории персонажа Драко Малфоя из популярных фильмов и книг
Copyright © 2010 - 2025 | Отказ от ответственности